Cada sorriso é planejado com critério clínico, tecnologia e personalização, para entregar um resultado harmônico, sofisticado e compatível com você.
Hoje é comum ver resultados:
artificiais
grosseiros
mal planejados
feitos apenas pensando em preço
E muitas pessoas acabam precisando refazer o tratamento depois.
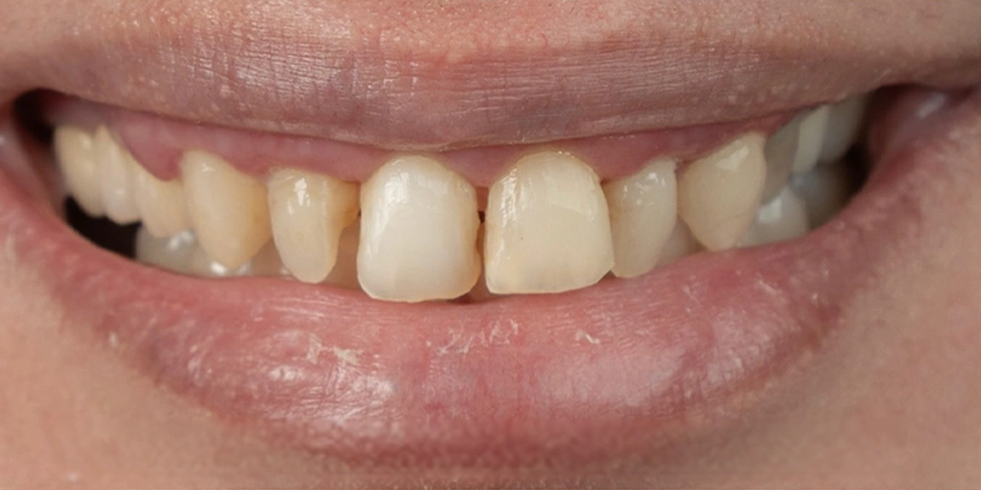
As lentes em resina são finas camadas de resina estética aplicadas sobre os dentes para melhorar a aparência do sorriso.
O objetivo não é criar um sorriso exagerado, mas um sorriso bonito e harmônico.






Entenda as etapas do planejamento até a transformação do seu sorriso.
Análise do sorriso, mordida e saúde bucal.
Imagens e diagnóstico claros para o paciente.
Construção personalizada diretamente no sorriso.
Retornos para adaptação e ajustes.
Agende sua avaliação e entenda qual o melhor caminho para transformar seu sorriso com segurança.
Publicado em Leonardo Furtuoso22/08/2025Trustindex verifica se a fonte original da avaliação é Google. Super atenciosos e educados! Fico muito agradecido pelo cuidado e recepção que tiveram!Publicado em Aline Martins22/08/2025Trustindex verifica se a fonte original da avaliação é Google. Lugar impecável, limpo e bem organizado Excelente atendimento, profissionais bem capacitadosPublicado em VIVIAM ROCUMBACK21/08/2025Trustindex verifica se a fonte original da avaliação é Google. Pensa num lugar com ótimos profissionais e um ambiente lindo e acolhedor. Adorei o resultado, meus dentes ficaram lindos!!Publicado em Karol Santiago05/08/2025Trustindex verifica se a fonte original da avaliação é Google. Simplesmente a melhor! Profissional incrível, super competente, sincera e realista desde a primeira consulta. Conseguiu exatamente o efeito que eu queria, com muito cuidado e perfeição. Dá pra ver que ela entrega o melhor trabalho possível, com responsabilidade e excelência. Além disso, a clínica é impecável: linda, super limpa e organizada. As meninas da recepção são muito educadas e atenciosas, o atendimento é maravilhoso do começo ao fim. Recomendo de olhos fechados. Estará sempre em meus contatos para procedimentos futuros. ❤️Publicado em Marcia Mota14/05/2025Trustindex verifica se a fonte original da avaliação é Google. Ambiente sofisticado , acolhedor e atendimento humanizado. Ótimos profissionais, recomendo de olhos fechados!Publicado em Ana Paula Brito11/05/2025Trustindex verifica se a fonte original da avaliação é Google. Atendimento de qualidade, profissionais excelentes, recepcionistas gentis, ambiente agradável e lindo! Amei o resultado!Publicado em vpsegcorretora10/05/2025Trustindex verifica se a fonte original da avaliação é Google. Se tivessem 6 estrelas eu daria! Existe o bom atendimento e o atendimento do Ateliê da Priscilla Santiago. Parabéns! Local super confortável e estruturada com uma equipe maravilhosa, muito bem treinada. Recomendo!Publicado em Luana Barbosa19/04/2025Trustindex verifica se a fonte original da avaliação é Google. A Clínica é simplesmente incrível! Desde a recepção até o atendimento dos profissionais, tudo é feito com cuidado e atenção. A equipe é super qualificada e sempre explica tudo de forma clara e acessível. O ambiente é limpo, organizado e muito confortável.Publicado em graziele52405/04/2025Trustindex verifica se a fonte original da avaliação é Google. Gostaria de elogiar o atendimento impecável da Dra. Priscila. Ela conseguiu atender minha filha de uma forma super acolhedora, respeitando o momento dela e deixando-a completamente à vontade. Foi incrível ver tanta paciência, dedicação e carinho durante o atendimento. Muito obrigado por todo cuidado e profissionalismo, fez toda a diferença para a nossa pequena! Equipe 10/10Certificado: TrustindexO selo verificado do Trustindex é o Símbolo Universal de Confiança. Apenas as melhores empresas podem obter o selo verificado que tem uma pontuação de avaliação acima de 4.5, com base nas avaliações dos clientes nos últimos 12 meses. Leia mais
Não quando há planejamento individualizado e preocupação real com harmonia, proporção e naturalidade.
Cada caso é avaliado individualmente. A proposta é sempre respeitar o que faz sentido para sua estrutura.
Quando necessário, a saúde bucal é tratada antes do procedimento estético, para garantir segurança e qualidade no resultado.
Quando bem executadas e bem cuidadas, o objetivo é justamente preservar saúde, adaptação e conforto. O acompanhamento também faz parte do processo.
A avaliação é o momento ideal para entender seu caso, seu objetivo e o que realmente faz sentido para o seu sorriso.
A clínica está localizada na Avenida do Jangadeiro, em uma região de fácil acesso em Interlagos, oferecendo uma experiência acolhedora, organizada e pensada para que você se sinta segura desde o primeiro atendimento.